En

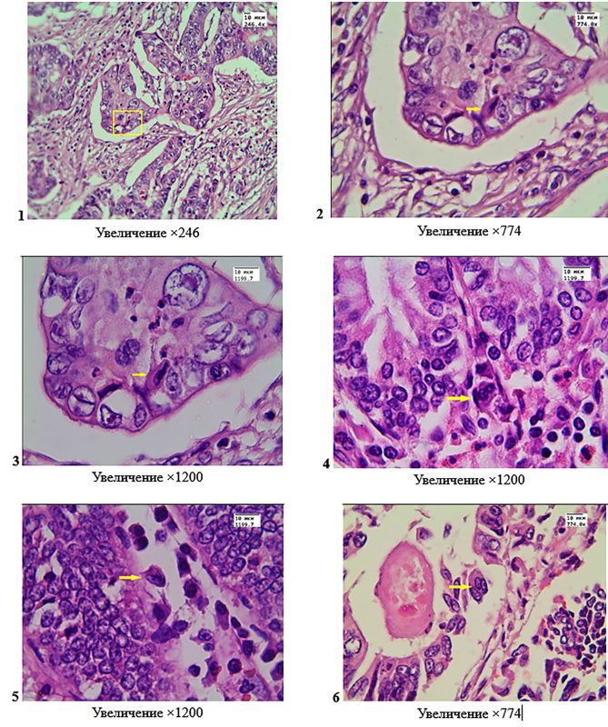
Гибридные неопухолевые клетки при карциноме толстой кишки

Операционные препараты резецированных сегментов толстой кишки по поводу опухолей, имеющих строение умеренно дифференцированной аденокарциномы, окраска гематоксилином-эозином. Фото 1, 2, 3 – двухъядерная клетка (показана квадратом и стрелками) с двумя фенотипически разными ядрами, одно из них гиперхромное; клетка имеет морфологические признаки гетерокариона гибридного происхождения; клетка располагается среди эпителиоцитов опухолевой ткани. Фото 4, 5, 6 – среди крипт имеются многоядерные клетки (показаны стрелками), ядра которых фенотипически схожи с ядрами эпителиоцитов; клетки не связаны с базальной мембраной; на фото 6 – клетка, в которой отчетливо видны 3 ядра, вследствие слияния эпителиоцитов, что указывает на её гибридное происхождение