/
Патоэмбриональная теория
Статьи и доклады
Фото
Видео
Тезарус
Контакты
Ru
En
Главная
—
Фото
Фото
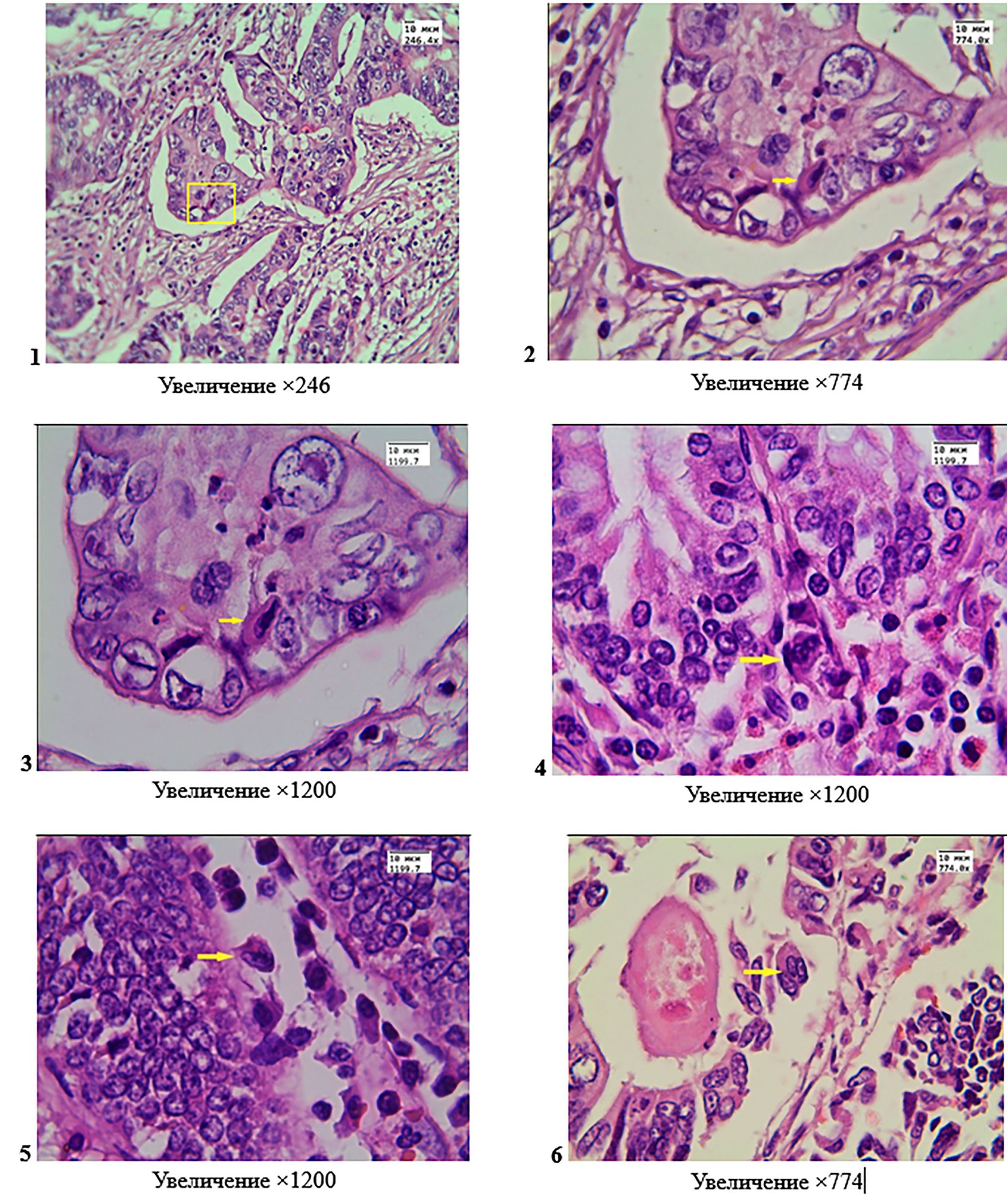
Гибридная клетка при карциноме желудка
Многоядерные опухолевые клетки при карциноме толстой кишки
Гибридные неопухолевые клетки при карциноме толстой кишки
Типичный внешний вид раковых опухолей толстой кишки с быстрыми темпами роста на ранней стадии развития
Диффузная гиперплазия слизистой оболочки толстой кишки
Схема соматической гибридизации
Небольшая блюдцеобразная карцинома восходящей ободочной кишки — типичный пародированный эмбрион