Ru

Hybrid cell in gastric carcinoma

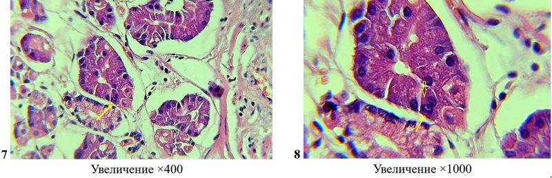
Surgical specimen of the resected body of the stomach for moderately differentiated adenocarcinoma. Photos 7-8: in the fundic glands, near the tumor tissue, there is a main cell with morphological features of a heterokaryon of hybrid origin (shown by arrows). Hematoxylin-eosin staining.