En

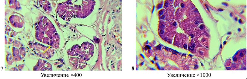
Гибридная клетка при карциноме желудка

Операционный препарат резецированного тела желудка по поводу умеренно-дифференцированной аденокарциномы. Фото 7-8: в фундальных железах, вблизи опухолевой ткани имеется главная клетка, имеющая морфологические признаки гетерокариона гибридного происхождения (показана стрелками). Окраска гематоксилином-эозином.