/
Pathoembryonic theory
Articles and reports
Photos
Videos
Thesaurus
Contacts
Ru
En
Home
—
Photos
Photos
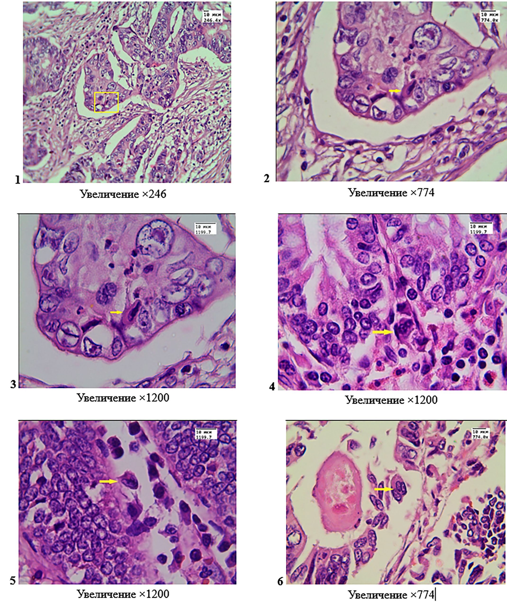
Hybrid cell in gastric carcinoma
Multinucleated tumor cells in colon carcinoma
Hybrid non-tumor cells in colon carcinoma
Typical appearance of colon cancer tumor with rapid growth rates in the early stages of development
Diffuse hyperplasia of the colonic mucosa
Somatic hybridization scheme
Small saucer-shaped carcinoma of the ascending colon – a typical parody embryo