Ru

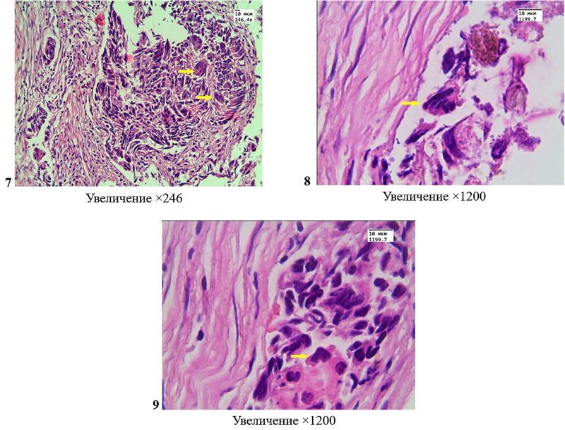
Multinucleated tumor cells in colon carcinoma

Surgical preparations of resected colon segments for tumors with the structure of moderately differentiated adenocarcinoma, hematoxylin-eosin staining. Photos 7, 8, 9 – multinucleated tumor cells consisting of two or more hyperchromatic nuclei; cell nuclei are hyperchromatic, deformed, chromatin is coarse.