En

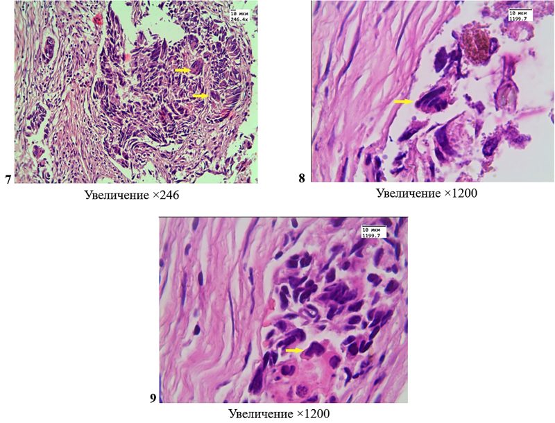
Многоядерные опухолевые клетки при карциноме толстой кишки

Операционные препараты резецированных сегментов толстой кишки по поводу опухолей, имеющих строение умеренно дифференцированной аденокарциномы, окраска гематоксилином-эозином. Фото 7, 8, 9 – многоядерные опухолевые клетки, состоящие из двух и более гиперхромных ядер; ядра клеток гиперхромные, деформированы, хроматин грубый.